Zirkonyumun Özelliklerine Ait 38 İyi Bilgi
Zirkonyumun Özelliklerine Ait 38 İyi Bilgi; zirkonyum, son yıllarda dental uygulamalarda büyük bir ilgi odağı haline gelmiş son derece değerli bir malzemedir. Bu mükemmel özelliklere sahip metal, dayanıklılığı, estetik görünümü ve biyouyumluluğuyla birlikte pek çok farklı alanda kullanılmaktadır. Zirkonyum, yüksek mukavemeti ve olağanüstü direnci sayesinde, diş hekimliği alanında kullanılan porselen protezlerin yapımında tercih edilen bir seçenektir.
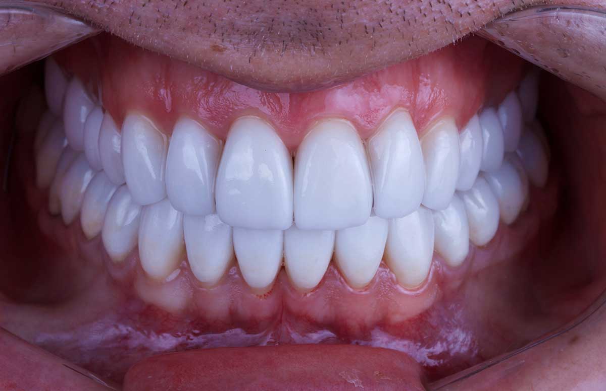
Zirkonyumun diş hekimliği uygulamalarında tercih edilmesinin temel nedeni, estetik görünümüdür. Zirkonyum, doğal dişlere oldukça benzeyen bir renge sahiptir ve ışığı geçirgenliği konusunda benzersiz bir özelliğe sahiptir. Bu özelliği sayesinde, porselen kaplamaların altından doğal diş rengi daha iyi yansıtılır ve sonuçta estetik olarak mükemmel bir uyum sağlanır. Bu nedenle, zirkonyum, ön diş estetiği için ideal bir seçenek olarak kabul edilir.
Bununla birlikte, zirkonyumun dayanıklılığı da onu diş hekimliğinde yaygın bir tercih haline getirmiştir. Zirkonyum, metal alt yapılarının aksine çatlama veya kırılma riskini minimalize eder. Bu özellik, özellikle köprü ve implant gibi daha karmaşık restorasyonlar için mükemmel bir seçenek olmasını sağlar. Zirkonyum, aşırı güç uygulanmasına dayanabilir ve uzun ömürlü bir çözüm sunar.
Ayrıca, zirkonyum biyouyumluluğu açısından da önemli bir malzemedir. Diş hekimliğinde kullanılan malzemelerin ağız dokularıyla uyumlu olması çok önemlidir. Zirkonyum, insan vücuduyla uyumlu olan bir malzemedir ve nadiren alerjik reaksiyonlara neden olur. Bu özelliği sayesinde, zirkonyum restorasyonlarının kullanımı genellikle güvenli ve sorunsuz bir deneyim sunar.
Bu makale, zirkonyumun diş hekimliği uygulamalarındaki önemli rolünü ve sahip olduğu benzersiz özellikleri detaylı bir şekilde ele alacaktır. Ayrıca, zirkonyum restorasyonlarının avantajları ve sınırlamaları hakkında daha fazla bilgi sağlayarak okuyucuların doğru kararlar vermelerine yardımcı olmayı amaçlar.
Zirkonyum Nasıl Bulunur Ve Çıkarılır?
Sembolü “Zr” ve atom numarası ise 40 olan Zirkonyum, doğal olarak çeşitli mineral cevherlerinde bulunur. En yaygın olarak zirkon minerali (zirkoniyum silikat) olarak bulunur. Zirkon, granitik ve volkanik kayaçlarda, plajiyoklaz feldispatlarla birlikte ortaya çıkar. Zirkonyum ayrıca baddeleyit mineralinde de bulunabilir.
Zirkonyumun çıkarılması genellikle açık madencilik veya yer altı madenciliği yöntemleriyle gerçekleştirilir. Açık madencilik, zirkon yataklarının yüzeydeki kayaların kazılması ve taşınmasıyla gerçekleştirilirken, yer altı madenciliği, zirkon yataklarının yer altında bulunduğu durumlarda kullanılır.
Zirkon minerali çıkarıldıktan sonra, zirkonyumun elde edilmesi için bir dizi işlem uygulanır. Bu işlemler genellikle mineralin konsantre edilmesi, öğütülmesi ve rafinasyonunu içerir. Zirkon minerali öğütülerek ince bir toz haline getirilir ve daha sonra kimyasal işlemlerle rafinasyon süreci gerçekleştirilir. Bu süreçte zirkonyum oksit (zirkonyum dioksit veya zirkonya) elde edilir. Zirkonya daha sonra çeşitli endüstriyel uygulamalarda veya dental alanda kullanılmak üzere uygun şekillerde işlenir.
Zirkonyum çıkarma ve rafinasyonu, karmaşık bir süreç olabilir ve endüstri standartlarına uygun tekniklerin kullanılması gereklidir. Çevresel etkileri yönetmek ve sürdürülebilirlik sağlamak için çıkarılan zirkonyumun işlenmesi ve kullanımı dikkatlice kontrol edilmelidir.
Zirkonyum Neden Stratejik Bir Madendir?
Zirkonyum stratejik bir madde olarak kabul edilir. Bunun nedeni, birçok endüstriyel uygulamada kritik bir rol oynaması ve birçok sektör için önemli bir malzeme olmasıdır. Nükleer enerji sektöründe, zirkonyumun kullanımı büyük bir öneme sahiptir.
Zirkonyum alaşımları, nükleer reaktörlerde yakıt çubuklarının yapımında kullanılır. Bu alaşımların yüksek sıcaklık dayanımı ve düşük nötron emilimi özellikleri, nükleer reaktörlerin güvenli ve verimli bir şekilde çalışmasını sağlar. Bu nedenle, zirkonyum, nükleer enerji üretimi için stratejik bir malzeme olarak kabul edilir.
Uzay endüstrisinde de zirkonyumun büyük bir önemi vardır. Uzay araçlarının yapımında kullanılan malzemeler arasında zirkonyum alaşımları bulunur. Bu alaşımlar, hafif ve dayanıklı olmaları nedeniyle uzay araçlarının performansını artırır.
Yüksek sıcaklık dayanımı, korozyon direnci ve mekanik özellikleri sayesinde zirkonyum alaşımları, uzay keşifleri ve araştırmaları için vazgeçilmezdir. Bu nedenle, uzay endüstrisi için zirkonyum stratejik bir malzeme olarak değerlendirilir.
Kimyasal endüstride de zirkonyumun önemi büyüktür. Zirkonyum oksit, seramiklerin ve refrakter malzemelerin üretiminde kullanılır. Yüksek sıcaklık dayanımı, kimyasal direnç ve dielektrik özellikleri, zirkonyumun bu tür uygulamalarda tercih edilmesini sağlar.
Kimyasal işlemler, katalizörler ve koruyucu kaplamalar gibi birçok uygulama zirkonyum bazlı malzemelerin kullanımını gerektirir. Bu nedenle, zirkonyum kimyasal endüstri için stratejik bir madde olarak kabul edilir.
Zirkonyumun stratejik önemi, endüstriyel uygulamalardaki çeşitliliği ve özelliklerinden kaynaklanmaktadır. Üretimi ve kullanımı, bir ülkenin enerji, savunma, uzay ve diğer stratejik sektörlerindeki faaliyetler için büyük bir öneme sahiptir.
Zirkonyumun Kullanım Alanları Nelerdir?
Zirkonyum, çok yönlü bir malzeme olup geniş bir kullanım yelpazesine sahiptir. Diş hekimliği, nükleer enerji, kimyasal endüstri, uzay endüstrisi, elektronik, tıp, savunma ve havacılık gibi birçok alanda kullanılmaktadır.
Diş hekimliği alanında zirkonyum, estetik ve dayanıklı restorasyonlar yapmak için tercih edilen bir malzemedir. Diş implantları, porselen kaplamalar ve köprüler gibi dental uygulamalarda kullanılmaktadır.
Nükleer enerji sektöründe, zirkonyum alaşımları nükleer reaktörlerin yapımında önemli bir rol oynar. Yakıt çubuklarının üretiminde ve koruyucu kaplamalarda kullanılır. Yüksek sıcaklık dayanımı ve düşük nötron emilimi özellikleri, zirkonyumu bu sektörde stratejik bir malzeme haline getirir.
Kimyasal endüstride zirkonyum oksit, seramik üretiminde sıklıkla kullanılır. Aynı zamanda aşındırıcılar, refrakter malzemeler, katalizörler ve koruyucu kaplamalar gibi çeşitli kimyasal uygulamalarda da kullanımı vardır.
Uzay endüstrisinde zirkonyum alaşımları hafif ve dayanıklı olduğu için tercih edilir. Uzay araçlarının yapımında kullanılır ve yüksek sıcaklık dayanımı sayesinde uzay keşifleri ve araştırmaları için vazgeçilmez bir malzeme haline gelir.
Elektronik endüstrisinde zirkonyum oksit, elektronik bileşenlerin izolasyon malzemesi olarak kullanılır. Ayrıca, bazı elektronik bileşenlerin yapımında zirkonyum bazlı alaşımlar da kullanılır.
Tıp alanında zirkonyum, tıbbi implantların yapımında kullanılır. Kemik replasmanı, ortopedik cihazlar ve protezler gibi uygulamalarda kullanılan biyouyumlu bir malzemedir. Savunma ve havacılık endüstrisinde zirkonyum, dayanıklı ve hafif bileşenlerin yapımında tercih edilir. Uçak motorlarında ve askeri ekipmanlarda kullanılarak mükemmel performans sağlar.
Bu sadece zirkonyumun bazı temel kullanım alanlarıdır ve gerçekte daha fazla sektörde kullanıldığı bilinmektedir. Zirkonyumun çok yönlü fiziksel ve kimyasal özellikleri, geniş bir uygulama potansiyeline sahip olmasını sağlar.
Zirkonyumun Renkleri Nelerdir Zirkonyumun Rengi Değişir mi?
Zirkonyum, doğal formunda gri renkte olur ve gri zirkonyum en yaygın olanıdır. Ancak, zirkonyum kristalleri farklı elementlerin etkisi altında farklı renklere sahip olabilirler. Bu renkler genellikle renkli zirkon taşlarının oluşmasına yol açar.
Birincil faktör, zirkon kristallerinde bulunan doğal renk değiştirici elementlerdir. Örneğin, zirkon kristallerindeki uranyum, toriyum ve radyum gibi radyoaktif elementler, kristallerin sarı, turuncu veya kahverengi tonlara dönüşmesine neden olabilir. Yine, nadir toprak elementlerinin varlığı, pembe veya mor gibi diğer renklerin oluşmasına yol açabilir.
Ayrıca, yapay olarak renklendirilmiş zirkonyum da mevcuttur. Bu işlem, özellikle mücevherat ve takı endüstrisinde çeşitli renklerde zirkon taşları üretmek için kullanılır. Bu renklendirme işlemi genellikle bir ısıtma sürecini içerir ve sonuçta mavi, yeşil, sarı, pembe veya mor gibi farklı renkler elde edilebilir.
Genellikle gri olan doğal zirkonyumun, farklı elementlerin etkisiyle farklı renklere dönüşebileceği göz önünde bulundurulmalıdır. Ancak, diş hekimliği veya endüstriyel uygulamalarda kullanılan saf zirkonyum genellikle beyazdır ve doğal renkli zirkon taşları mücevherlerde ve takılarda daha yaygın olarak bulunur.
Zirkonyumun Korozyon Direnci Nasıldır?
Zirkonyumun korozyon direnci oldukça yüksektir. Zirkonyum, paslanmaz çelik gibi yüksek korozyon direncine sahip bir metaldir. Bunun nedeni, zirkonyumun yüzeyinde doğal olarak oluşan ince ve sağlam bir oksit tabakasına sahip olmasıdır.
Zirkonyumun oksit tabakası, metalin iç kısmını koruyarak korozyona karşı direncini artırır. Bu tabaka, zirkonyumun kimyasal olarak agresif ortamlarda bile dayanıklı olmasını sağlar. Su, hava ve çeşitli asitler ve bazlar gibi çevresel koşullara maruz kaldığında, zirkonyum genellikle korozyona uğramaz veya yavaşça korozyona uğrar.
Özellikle suya maruz kaldığında, zirkonyumun oksit tabakası daha da güçlenir ve suya karşı neredeyse tamamen dirençli hale gelir. Bu nedenle, zirkonyum, deniz suyu veya kimyasal endüstrilerdeki agresif ortamlarda uzun ömürlü yapılar oluşturmak için tercih edilir.
Zirkonyumun yüksek korozyon direnci, diş implantları ve diğer tıbbi cihazlar gibi biyomedikal uygulamalarda da büyük bir avantaj sağlar. Vücut sıvıları ve dokuları ile uyumlu olan bu metal, biyouyumluğu sayesinde tıbbi uygulamalarda güvenli ve etkili bir şekilde kullanılabilir.
Zirkonyumun Özellikleri Nelerdir?
- Elektrik yalıtkanlarıyla düşük dielektrik kaybı gösterir.
- Kimyasal sembolü “Zr” olan bir elementtir.
- Gri renkte doğal zirkonyum en yaygın olanıdır.
- Metalik bir parlaklığa sahiptir.
- Yüksek sıcaklıklarda dayanıklıdır.
- Erime noktası 1852°C’dir.
- Yoğunluğu yaklaşık 6.52 g/cm³’tür.
- Diş hekimliğinde yaygın olarak kullanılır.
- Nükleer enerjide kullanılan önemli bir malzemedir.
- Kimyasal endüstride seramik üretiminde kullanılır.
- Uzay endüstrisinde hafif diye tercih edilir.
- İzolasyon malzemesi olarak kullanılır.
- Tıp alanında implantlarda kullanılır.
- Mükemmel bir korozyon direncine sahiptir.
- Doğal formunda genellikle gri renkte olur.
- Isıya karşı dayanıklıdır ve termal şoklara dirençlidir.
- Toksik olmayan ve biyouyumlu bir metaldir.
- Uzun ömürlü ve dayanıklıdır.
- Optik uygulamalarda kullanılır.
- Yüksek elektrik direncine sahiptir.
- Nükleer reaktörlerde kullanılır.
- Alev almaz ve yanmaz.
- Kararsız kimyasal bileşikler için stabil yapısı vardır.
- İyi bir sürtünme direncine sahiptir.
- Aşındırıcı maddelere dayanıklıdır.
- Metalurjide alaşım yapımında kullanılır.
- Yarıiletken malzeme üretiminde kullanılır.
- Düşük termal genleşme katsayısına sahiptir.
- Manyetik olmayan bir metaldır.
- Titreşim ve ses emilimi için kullanılır.
- Biyomedikal cihazlarda kullanılır.
- Yüksek mekanik mukavemeti vardır.
- Elektronik cihazların soğutulması için kullanılır.
- Korozyon önleyici kaplamaların içeriğinde yer alır.
- Kimyasal ve termal işlemlerde kullanılır.
- Düşük termal iletkenlik gösterir.
- Optik fiber kaplamalarında kullanılır.
- Isıl bariyer kaplamalarında kullanılan bir malzemedir.
Zirkonyumun Tıbbi Uygulamalardaki Önemi Nedir?
Zirkonyum, tıbbi uygulamalarda önemli bir malzeme olarak kabul edilir ve çeşitli alanlarda kullanılır. Zirkonyumun tıbbi uygulamalardaki önemi aşağıdaki nedenlerle öne çıkar:
Biyouyumluğu: Zirkonyumun biyouyumluğu yani vücutla uyumlu olma özelliği, tıbbi uygulamalarda önemli bir avantajdır. Vücut sıvıları ve dokuları ile uyumlu olan zirkonyum, vücutta herhangi bir toksik etki veya alerjik reaksiyon oluşturmaz.
Korozyon Direnci: Zirkonyumun yüksek korozyon direnci, tıbbi cihazların ve implantların uzun ömürlü olmasını sağlar. Özellikle vücut içindeki nemli ve asitli ortamlara maruz kalan implantlar, zirkonyum sayesinde daha az korozyona uğrar.

Diş İmplantları: Zirkonyum, diş hekimliğinde diş implantları yapımında kullanılır. Diş implantları, kaybedilmiş dişleri yerine koymak için kullanılan ve kemik içine yerleştirilen yapay diş kökleridir. Zirkonyum implantlar, biyouyumluğu ve dayanıklılığı sayesinde başarılı sonuçlar elde etmek için tercih edilir.
Ortopedik Cihazlar: Zirkonyum, ortopedi alanında da kullanılır. Kemik replasmanı ameliyatlarında ve diğer ortopedik cihazların yapımında kullanılan bir malzemedir. Bu uygulamalarda, zirkonyumun biyouyumluğu ve mekanik dayanıklılığı öne çıkar.
Biyomedikal Cihazlar: Zirkonyum, biyomedikal cihazların yapımında kullanılan bir malzemedir. İmplantlar, protezler, kemik plakaları ve diğer tıbbi cihazlar zirkonyumdan üretilir. Bu cihazlar, tıbbi uygulamalarda hastalara uzun vadeli tedaviler sunmak için kullanılır.
Dental Restorasyonlar: Zirkonyum, diş hekimliğinde porselen kaplamalar ve köprüler gibi dental restorasyonlar için tercih edilir. Estetik görünümü ve biyouyumluğu sayesinde doğal dişlere benzer bir görünüm ve uzun ömürlü çözümler sunar.
Manyetik Olmama Özelliği: Zirkonyum manyetik değildir, bu nedenle manyetik rezonans görüntüleme (MRG) veya manyetik cihazlarla uyumlu olması gereken tıbbi durumlarda tercih edilir.
Zirkonyumun biyouyumluğu, korozyon direnci, dayanıklılığı ve estetik görünümü, tıbbi alanda çeşitli uygulamalarda kullanılmasını sağlar ve hastalara güvenli ve etkili tedaviler sunmayı mümkün kılar. Bu nedenle, zirkonyum tıbbi uygulamalardaki önemi oldukça büyüktür.
Zirkonyum Seramik Ve Cam Endüstrisinde Nasıl Kullanılır?
Zirkonyum, seramik ve cam endüstrilerinde farklı şekillerde kullanılan önemli bir malzemedir. Seramik endüstrisinde, zirkonyum oksit, pigmentlerin üretiminde sıkça kullanılır ve seramik ürünlere farklı renkler ve desenler verilmesine olanak tanır.
Ayrıca, seramik kaplamaların içeriğinde yer alarak seramik yüzeyleri daha dayanıklı, aşındırmaya ve korozyona karşı dirençli hale getirir. Seramik filtrelerin yapımında da zirkonyum dioksit kullanılır, bu filtreler endüstriyel uygulamalarda katı parçacıkları ve kirleticileri sudan veya gazdan ayırmak için kullanılır.
Seramik bileşenlerin üretiminde de zirkonyum oksit tercih edilir; bu bileşenler elektronik ve mekanik uygulamalarda yüksek sıcaklık dayanımı, yüksek dielektrik sabit ve kimyasal direnç özellikleri nedeniyle yaygın bir şekilde kullanılır.
Cam endüstrisinde zirkonyum oksit, optik camların içeriğinde yer alabilir ve camın kırılma indeksini ve yansıtma özelliklerini iyileştirmeye yardımcı olur. Ayrıca cam yüzeylerinde ince kaplamaların yapımında kullanılarak camın daha dayanıklı, su itici ve kendi kendini temizleyebilir hale gelmesini sağlar.
Yüksek sıcaklık dayanımı ve kimyasal dirençleri nedeniyle zirkonyum oksit bazlı camlar, yüksek sıcaklık işlem görmüş camların üretiminde de kullanılır. Ayrıca, zirkonyum oksit bazlı cam seramikler, camın şeffaf özelliklerini seramik dayanıklılığı ile birleştirir ve cam seramik kaplamaların veya bileşenlerin üretiminde kullanılır.
Zirkonyumun seramik ve cam endüstrisindeki bu çeşitli kullanım alanları, özellikle yüksek sıcaklık dayanımı, kimyasal direnç ve renklendirme özellikleri nedeniyle önemli bir malzeme olarak değerlendirilir. Bu özellikleri, endüstrilere çeşitli uygulamalarda güçlü, dayanıklı ve estetik çözümler sunma avantajı sağlar.
Zirkonyum Nükleer Enerji Endüstrisinde Nasıl Kullanılır?
Zirkonyum, nükleer enerji endüstrisinde önemli bir malzeme olarak kullanılmaktadır. Bu metal, nükleer reaktörlerin yapımında ve işleyişinde çeşitli önemli roller üstlenir. Zirkonyum, nükleer reaktörlerdeki yakıt çubuklarının yapımında kullanılır. Bu çubuklar, nükleer yakıt içeren uranyum veya plutonyumun korunmasını sağlayarak reaktördeki fisyon reaksiyonlarının kontrol edilmesini mümkün kılar.
Ayrıca, zirkonyum oksit kaplamaları, nükleer yakıt çubuklarının dış yüzeyine uygulanır. Bu kaplamalar, yakıtın nötronlar ve yüksek sıcaklıklardan kaynaklanan etkilere karşı korunmasına yardımcı olur. Zirkonyum alaşımları, nükleer reaktörlerdeki soğutucu boruların yapımında kullanılır. Reaktör soğutucu boruları, reaktörün içinde dolaşan soğutma suyunu yakıt çubuklarına iletir ve reaktörün sıcaklığını kontrol eder.
Nükleer yakıtın işlenmesi sırasında, zirkonyumun nötronların emilimini azaltma özelliği önemli bir rol oynar. Zirkonyum, fisyon edilebilir nükleer malzemelerin işlenmesi sırasında ortaya çıkan yüksek miktardaki nötronları azaltarak işlemlerin kontrol edilmesini sağlar.
Zirkonyum aynı zamanda nükleer reaktörlerin yapımında çeşitli yapısal bileşenlerin yapımında da kullanılır. Dayanıklılığı ve korozyon direnci sayesinde, reaktörlerin içyapılarının ve bileşenlerinin uzun ömürlü olmasına katkı sağlar.
Zirkonyumun yüksek sıcaklık dayanımı, düşük nötron emilimi ve korozyon direnci gibi özellikleri, nükleer enerji endüstrisinde stratejik bir malzeme olarak kabul edilmesini sağlar. Bu özellikleri sayesinde, zirkonyum enerji üretiminde güvenli ve verimli bir şekilde kullanılan önemli bir malzeme haline gelir.
Zirkonyum Gemi Ve Havacılık Sektöründe Nasıl Kullanılır?
Zirkonyum, gemi ve havacılık sektörlerinde çeşitli alanlarda kullanılan önemli bir malzemedir. Gemi sektöründe, denizaltıların yapımında zirkonyum alaşımları tercih edilir. Bu alaşımlar, su altında yüksek dayanıklılık ve korozyon direnci sağlamak için kullanılır.
Aynı şekilde, gemilerin deniz suyuna karşı dayanıklılığını artırmak için zirkonyum oksit kaplamalar kullanılır. Tuzlu su sistemlerinin iç kısımlarında da zirkonyum alaşımlarının kullanımı yaygındır; böylece, tuzlu suyun korozyon etkilerinden korunulmuş olur.
Havacılık sektöründe zirkonyum alaşımları, uçak motorlarının yapımında önemli bir role sahiptir. Yüksek sıcaklık dayanımı ve hafifliği sayesinde, zirkonyum alaşımları uçak motorlarında aşındırmaya ve yüksek sıcaklıkta çalışmaya dayanıklı parçaların yapımında kullanılır. Aynı zamanda, hava aracı yüzeylerine uygulanan kaplamalarda da zirkonyum oksit kullanılır. Bu kaplamalar, hava araçlarının dış etkenlere, aşındırmaya ve korozyona karşı korunmasını sağlar.
Zirkonyum ayrıca uzay endüstrisinde de önemli bir rol oynar. Uzay araçlarının yapımında ve uzay keşiflerinde kullanılan zirkonyum alaşımları, uzaydaki zorlu koşullara dayanıklı yapılar oluşturulmasına yardımcı olur.
Zirkonyumun gemi ve havacılık sektörlerindeki geniş kullanım alanları, dayanıklılığı, korozyon direnci ve hafifliği gibi avantajları sayesinde önemli bir malzeme olarak değerlendirilir. Su altındaki gemilerin ve yüksek irtifalardaki hava araçlarının, zorlu çalışma koşullarında güvenilir ve etkili bir şekilde çalışmasını sağlamak için zirkonyumun özelliklerinden yararlanılır.
Zirkonyumun Termoelektrik Özellikleri Nasıldır?
Zirkonyum, termoelektrik özellikleri nedeniyle dikkat çeken bir metal değildir. Termoelektrik özellikler, bir malzemenin sıcaklık farklılıklarından elektrik enerjisi üretme veya sıcaklık farklarını elektrik enerjisine dönüştürme yeteneğiyle ilgilidir. Bazı malzemeler termoelektrik etkiyi gösterebilirken, diğerleri için bu özellik pek belirgin değildir.
Zirkonyum, doğası gereği termoelektrik verimlilik açısından etkili bir malzeme değildir. Diğer bazı metaller veya yarıiletkenler, termoelektrik uygulamalarda daha yüksek verimlilik sağlayabilir. Bu nedenle, termoelektrik enerji dönüşümü için zirkonyum nadiren tercih edilir.
Ancak, termoelektrik uygulamalarda kullanılan bazı alaşımlarda veya yapılan bileşiklerde zirkonyumun yer alabileceği unutulmamalıdır. Bazı zirkonyum bazlı alaşımlar, diğer elementlerin eklenmesiyle termoelektrik özellikleri artırılmaya çalışılmış olabilir.
Genel olarak, termoelektrik uygulamalar için zirkonyum yerine daha uygun malzemeler seçilmektedir. Termoelektrik verimliliği yüksek malzemeler, enerji dönüşümünde daha etkili ve verimli bir şekilde çalışma sağlar.
Zirkonyum Optik Fiberlerde Nasıl Kullanılır?
Zirkonyum, optik fiberlerin üretiminde önemli bir rol oynayan bir malzemedir. Optik fiberler, iletişim ve veri aktarımı için kullanılan ince, esnek ve şeffaf tellerdir. Bu fiberler, ışığı yüksek hızda ve minimum kayıpla ileten modern iletişim altyapılarının temel taşlarından biridir. Zirkonyum, optik fiberlerin içinde bulunan fiber optik camlarda yer alır ve fiberlerin performansını artırmaya yardımcı olur.
Zirkonyum oksit, optik fiberlerin çekirdek yapılarında önemli bir bileşendir. Eklenen zirkonyum oksit, çekirdeğin refraktif indisinin ayarlanmasına yardımcı olur. Böylece, ışığın optik fiber boyunca iletilmesi optimize edilir ve sinyal kaybı minimuma indirgenir. Optik fiberlerin özellikle özel dalga boyutlarında daha verimli çalışması için zirkonyum oksit kullanımı oldukça önemlidir.
Zirkonyum içeren optik fiberler, termal kararlılıkları nedeniyle yüksek sıcaklık ve çevresel koşullarda daha iyi performans gösterir. Bu özellik, fiberlerin geniş sıcaklık aralıklarında güvenilir bir şekilde çalışmasını sağlar ve optik özelliklerin sabit kalmasını garanti eder.
Ayrıca, zirkonyum içeren optik fiberler düşük sinyal kaybı sağlayarak yüksek kaliteli iletişim ve veri aktarımı sağlar. Işığı minimum kayıpla ileten zirkonyum fiberler, optik iletim verimini artırarak daha verimli bir haberleşme altyapısı sunar.
Zirkonyumun dayanıklılığı ve korozyon direnci, optik fiberlerin uzun ömürlü ve güvenilir bir iletim sağlamasını sağlar. Bu da zirkonyum içeren fiberlerin çeşitli uygulamalarda etkin bir şekilde kullanılmasını mümkün kılar.
Zirkonyum Yüksek Sıcaklığa Dayanıklı mıdır?
Zirkonyum, yüksek sıcaklık uygulamalarında tercih edilen önemli bir malzemedir. Bu tercihin arkasında birkaç önemli neden bulunmaktadır. İlk olarak, zirkonyumun yüksek sıcaklık dayanımı oldukça etkileyicidir.
Diğer bazı metaller yüksek sıcaklıklarda kolayca yumuşayabilir veya mekanik özelliklerini kaybedebilirken, zirkonyum bu tür koşullarda dahi dayanıklılığını koruyabilir. Bu özelliği, malzemenin yüksek sıcaklıklı ortamlarda dahi güçlü ve sağlam kalmasını sağlar.
Zirkonyum, yüksek sıcaklıkta oksidasyona karşı da dirençlidir. Yüksek sıcaklıklarda zirkonyum yüzeyi, bir oksit tabakası oluşturur. Bu oksit tabakası, zirkonyumu oksidasyondan korur ve malzemenin dayanıklılığını artırır. Dolayısıyla, zirkonyum yüksek sıcaklık uygulamalarında tercih edilen bir seçenek olabilir.
Bununla birlikte, zirkonyumun korozyon direnci de dikkat çekicidir. Agresif kimyasallara ve korozyon etkilerine karşı dayanıklı olan zirkonyum, yüksek sıcaklıkta bile kimyasal etkilerden zarar görmez. Bu özellik, zirkonyumun çeşitli endüstriyel uygulamalarda tercih edilmesinin bir diğer nedenidir.
Ayrıca, zirkonyum yüksek sıcaklıkta termal kararlılığa sahiptir. Yani, malzeme yüksek sıcaklık değişimlerine karşı dayanıklıdır ve sıcaklık farklılıklarına karşı istikrarını korur. Bu özellik, zirkonyumun yüksek sıcaklık ortamlarında güvenilir bir performans sergilemesine yardımcı olur.
Zirkonyum Diş Uygulaması
Zirkonyumun Özelliklerine Ait 38 İyi Bilgi adlı konumuza son verirken, zirkonyum diş ile alakalı farklı videolar izlemek isterseniz, burayı tıklayarak youtube üzerinden izleyebilirsiniz.







